Die Patientin stellte sich als Neuaufnahme mit Zahnschmerzen oben links vor. Der Zahn 24 hat eine Kunststofffüllung mit Randspalt und Randkaries.
Hier das Foto der undichten Füllung:

Detail:

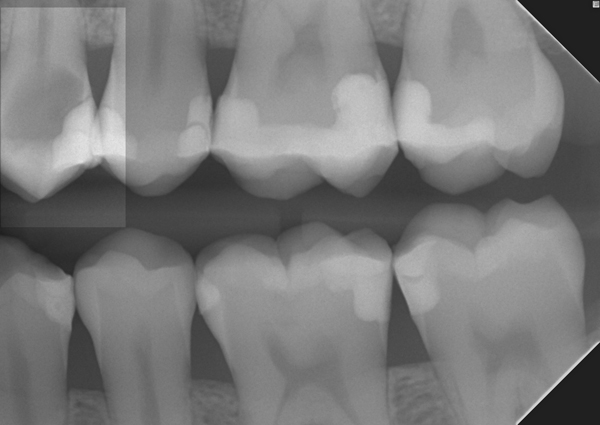
Im Röntgenbild wird das Ausmaß der kariösen Zerstörung der Zahnkrone deutlich. Bissflügelaufnahme links:

Ausschnitt der Panoramaschichtaufnahme:

Wir werden an dem Zahn eine Wurzelkanalbehandlung durchführen und dann die zerstörte Zahnhartsubstanz durch eine Keramikteilkrone ersetzen.