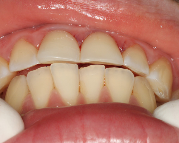
Hier sieht man die mit Komposit restaurierten mittleren Scheidezähne im Oberkiefer (11 und 21):

Das nächste Bild zeigt die Ausgangssituation mit starken Abrasionen, Attritionen und Erosionen:

Detail vor der Behandlung:


Detail nach der Behandlung:

Ansicht der messerscharf abgewetzten und teilweise frakturierten Schneidekanten vorher:

Ansicht nach Aufbau mit Komposit:

In der nächsten Sitzung erhält die Patientin eine neue Knirscherschiene. Die alte Schiene passt mit den wiederhergestellten mittleren Schneidezähnen nicht mehr.