Im Rahmen einer Gesamtsanierung wurde die alte Wurzelkanalbehandlung an Zahn 16 revidiert. Hauptgrund für die Revision war die nicht vorhandene koronale Versorgung des Zahnes. Durch den fehlenden bakteriendichten Verschluss der Wurzelkanäle zur Mundhöhle ist das Kanalsystem infiziert. Zustand der Krone bei der Neuaufnahme des Patienten:

Das Ausgangsröntgenbild zeigt inhomogene und zu kurze Wurzelkanalfüllungen:

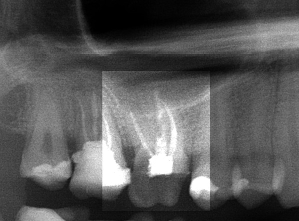
Wir haben alle Wurzelkanäle gereinigt, desinfiziert und vollständig gefüllt:

In der nächsten Sitzung wird der Zahn mit einer Keramikteilkrone versorgt. Die Prognose ist jetzt günstiger.