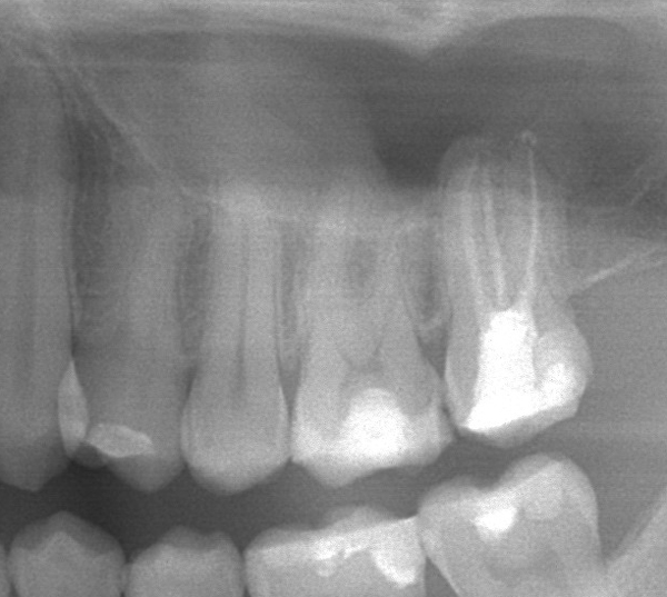
Der letzte Zahn links oben (27) soll im Rahmen einer Gebisssanierung mit einer Teilkrone versorgt werden. Die alten Wurzelkanalfüllungen (alio loco) sind etwas zu kurz und nicht homogen. Zudem war der Zahn nicht suffizient und bakteriendicht, sondern mit einer undichten Plastikfüllung versorgt.
Ausgangsröntgen (OPG):

Wir haben die Wurzelkanalbehandlung revidiert und dabei den zweiten mesiobuccalen Kanal (mb2) und akzessorische Kanäle füllen können. Die Kanäle sind bis zu den Wurzelspitzen vollständig gefüllt.

In der nächsten Sitzung wird der Zahn mit einer Keramikteilkrone versorgt. Die Prognose ist dann günstig.