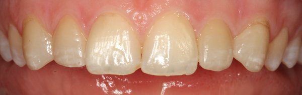
Die Patientin stellte sich zur Routinekontrolle vor. Wir haben bei ihr vor gut einem Jahr die Frontzähne durch Keramikrestaurationen verbreitert. Die abgebrochene Ecke am mittleren, rechten Schneidezahn wollte die Patientin so belassen. Das Foto wurde vor der Zahnreinigung gemacht und die Zahnhälse sind leicht verfärbt.

Das nächste Bild zeigt den Ausgangszustand mit zu kleinen seitlichen Schneidezähnen und Lücken in der Front.
