Seite wählen

Von außen betrachtet ist der Zahnzwischenraum unauffällig:

Zahnzwischenraumkaries-Ausgangsbild-scheint-unauffaellig

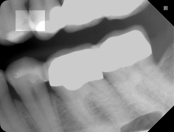
Zuerst konnte man die Karies an beiden Zähnen im Röntgenbild erkennen. Man muss allerdings genau hinsehen:

Zahnzwischenraumkaries

Aufgebohrt wird dann die Zahnzwischenraumkaries an beiden Zähnen offensichtlich:

(1)

Zahnzwischenraumkaries2

(2)

Zahnzwischenraumkaries3

(3)

Zahnzwischenraumkaries4

Nach vollständiger Kariesentfernung wurden die Zähne mit dantinadhäsiven Kompositrestaurationen versorgt:

Zahnzwischenraumkaries-dentinadhaesive-Kompositrestaurationen