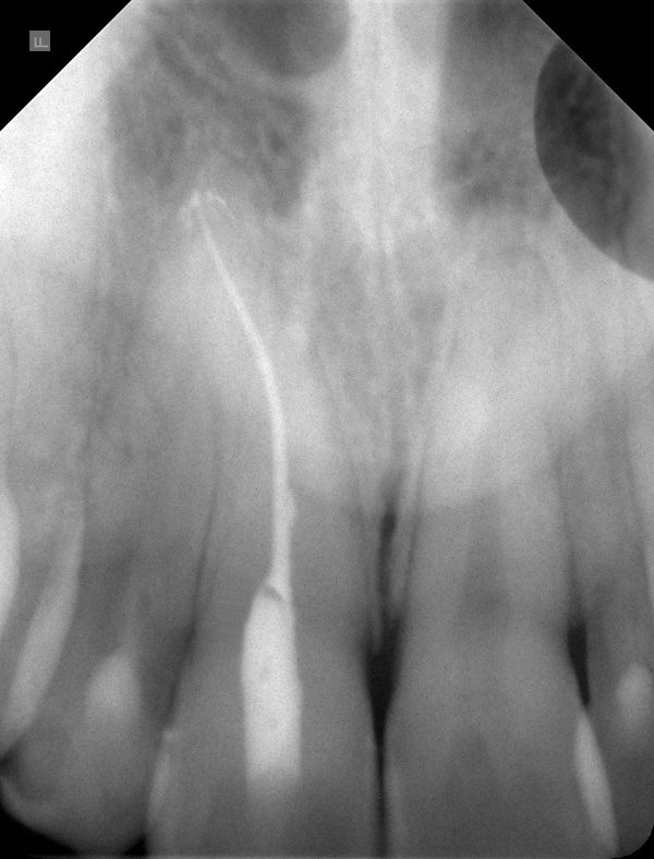
Das Ausgangsröntgenbild zeigt einen größtenteils obliterierten und mehrfach gekrümmten Wurzelkanal am Oberkieferfrontzahn 11. Der Zahn reagierte klinisch nicht auf Kälte und zeigte eine bräunliche, dunkle Verfärbung der gesamten Krone. Der Patient hatte seit 2 Wochen Schmerzen im Bereich der Wurzelspitze des Zahnes.
Ausgangsröntgen, stark gekrümmter und obliterierter Wurzelkanal:

Die Wurzelkanalfüllung reicht exakt bis zur Wurzelspitze:

Der Zahn hat jetzt eine günstige Prognose.