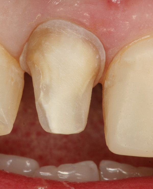
Die Präparationsgrenze verläuft in Zahnfleischhöhe. Es konnte isogingival ein großer Schmelzrand erhalten werden. Zahnfleischbluten durch das Beschleifen wurde vollkommen vermieden:

Die Präparationsgrenze verläuft in Zahnfleischhöhe. Es konnte isogingival ein großer Schmelzrand erhalten werden. Zahnfleischbluten durch das Beschleifen wurde vollkommen vermieden:
